Andningsstöd
Underburna barn har omogna lungor i varierande grad beroende på gestationsålder. Från cirka gestationsvecka 25 är lungan i det sacculära stadiet som innebär att de sista förgreningarna av lungträdet bildas och att alveolariseringen startar. Lungan kan syntetisera surfaktant, men antalet alveolära typ II celler och därmed även förråden av surfaktant är otillräckliga fram till ungefär vecka 32. Det leder till brist på surfaktant och risk för utveckling av respiratory distress syndrome, RDS. I den omogna lugna är också absorptionen av lungvätska fördröjd, vilket leder till ökad risk för omställningsrubbningar såsom pulmonell adaptationsstörning, PAS, men även bidrar till RDS-utveckling.
Den kliniska bilden vid andningsstörning karaktäriseras av:
- Ökat andningsarbete och takypné > 60 andetag/minut
- Indragningar, sub- och interkostalt samt jugulärt
- Grunting
- Näsvingespel
Apnéer kan vara primära eller sekundära till att barnet inte längre orkar upprätthålla det höga andningsarbetet. Stigande pCO2 kan vara sekundärt till hypoventilation eller täta apnéer. Till barn < 32 veckor och särskilt barn < 28 veckor, överväg tidigt att ge koffeincitrat i laddningsdos 20 mg/kg, därefter 5-10 mg/kg x 1.
Diagnostik
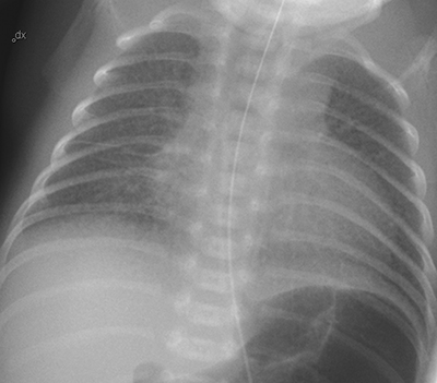
Röntgen differentierar mellan PAS och RDS även om blandbilder förekommer, särskilt i gestationsveckorna 30-33. Det är också viktigt att röntga för att identifiera infiltrat som vid pneumoni, täta atelektaser eller luftläckage/pneumothorax.

RDS – Karaktäristisk röntgenbild med nedsatt lufthalt, fingranulär teckning och luftbronkogram. Man ser även ofta att esofagus står öppen som tecken till att lungan är stel.

PAS – karaktäriseras av hyperinflation, ofta med nedpressad, platt diafragma. Stråkiga infiltrat sekundärt till kvarvarande lungvätska vätska i interlobärfåror och pleurasinus kan ses.
CPAP och non-invasivt andningsstöd
Non-invasivt andningsstöd anses vara den optimala metoden att stödja ventilationen hos ett underburet barn med god spontanandning. Högflödesgrimma rekommenderas inte som primärt andningsstöd i den akuta fasen efter födelsen,
Nasal CPAP är förstahands metod. Om det inte finns möjlighet att starta redan på förlossningsrummet bör nasal CPAP kopplas så snart som möjligt efter ankomst till neonatalavdelning dels för att ge ett effektivare tryck och dels för att tillföra varma och befuktade gaser. Kontinuerligt end-expiratoriskt tryck (CPAP-tryck) har flera positiva effekter; splintar upp övre luftvägar, upprätthåller lungexpansionen och förhindrar end-expiratorisk kollaps, vilket underlättar endogen surfaktant sekretion. Målet är att stödja ventilationen genom att öppna lungorna och hålla dem öppna.
CPAP system levererar ett gasflöde under kontrollerade tryck via ett interface som är sluter tätt. Vilket CPAP system man använder spelar sannolikt mindre roll, däremot har vilket interface man använder betydelse. Korta nasala prongs i bägge näsborrar eller näsmask är mest effektivt. Starta med ett CPAP-tryck på 5-6 cmH2O, trycket justeras sedan utifrån barnets kliniska tillstånd, syresättning och ventilation.
Tänk på vid CPAP-behandling:
- Sätt sond tidigt för att undvika att magen blåser upp sig.
- Ser till att näspassagen är öppen.
- Positionera barnet bekvämt och med fri luftväg.
- Använd napp vid behov för att minska tryckförlust via munnen.
- Dra inte åt för hårt, näs-stycket ska inte trycka.
- Använde största möjliga prongs som passar i näsan.

Andra former av non-invasivt andningsstöd är Bi-level CPAP (=BiPAP, SiPAP, Duo-PAP), NIPPV (Nasal Intermittent Positive Pressure Ventilation), NIV-NAVA (Non-Invasiv Neurally Adjusted Ventilatory Assist) och HFNC (=högflödesgrimma, High Flow Nasal Cannula).
Respirator och invasivt andningsstöd
Trots bra strategier räcker inte alltid non-invasivt andningsunderstöd. Även om det gått bra att stabilisera barnet i CPAP behöver många underburna barn respiratorvård senare på grund av otillräcklig egenandning eller snabb progress av RDS med täta lungor och försvårat gasutbyte. Cirka hälften av alla barn födda före vecka 28 behöver respiratorvård.
Målet med respiratorvård är att skapa förutsättningar för så bra gasutbyte som möjligt och samtidigt minimera risken för lungskada. Principen är att initialt använda tillräckliga tryck för att öppna lungorna och rekrytera atelektatisk lunga. Ett adekvat end-expiratoriskt tryck (PEEP) är viktigt för att hålla lungan öppen. Inställningarna måste därefter justeras utifrån tidalvolymer, blodgaser och syresättning. Undvik hyperinflation eftersom det ökar risken för luftläckage som pneumothorax och var observant på att respiratortrycken oftast behöver sänkas snabbt efter surfaktantbehandling.

Indikationer för respiratorvård är:
- progredierande RDS och behov av surfaktant där direkt extubation inte är lämpligt (se kapitel Surfaktant)
- upprepade apnéer som kräver åtgärd (ventilation eller kraftig stimulering)
- hypoventilation
- koldioxidretention med respiratorisk acidos (pCO2 >8 och pH <7,2)
- otillräcklig syresättning och stigande syrgasbehov efter att en dos surfaktant i kombination med CPAP (INSURE) redan är givet
- inför transport för säker luftväg
Intubation
Vana att hantera det lilla barnets luftväg är viktigt för en lyckad och atraumatisk intubation. Neonatolog eller barnläkare med intubationsvana är oftast förstahandsvalet, men i många situationer är närvarande anestesiolog den läkaren med störst erfarenhet av intubationsproceduren. Kommunikation i teamet är viktigt. Skapa goda förutsättningar för en lyckad intubation genom positionering av barnet och adekvat premedicinering.
Surfaktant
Surfactant administration är en viktig del i behandlingen av RDS hos underburna barn. Om barnet kan stabiliseras efter födelsen med non-invasivt andningsstöd, finns ingen anledning att ge profylaktiskt surfaktant utan rekommendationen är tidig selektiv surfaktantbehandling till de barn som visar tecken till progredierande RDS.
När är det dags att ge surfaktant?
- Vid klinisk RDS (grunting och indragningar trots adekvat CPAP-behandling), och
- Typisk röntgenbild som vid RDS, och
- Progredierande förlopp med stigande syrgasbehov
Tröskel för syrgasbehov då surfaktantbehandling bör övervägas enligt European guidelines:
- FiO2 >30% hos underburna barn < 26 veckor
- FiO2 >30% och stigande i försämringsfas hos alla barn med klinisk RDS
a/A kvot (arteriell/alveolär kvot) kan användas som ett mått på graden av lungsjukdom vid RDS. En a/A kvot ≤0.22 kan indikera behov av surfaktant..
a/A kvot beräknas från arteriella blodgasvärden enligt formeln:
Pa O2
(95 x FiO2) – PaCO2
Om barnet behöver intuberas för respiratorvård under första levnadsdygnet av annat skäl, exempelvis apné, överväg att ge surfaktant om gestationsåldern är <32 veckor.
I Sverige används huvudsakligen surfaktantpreparatat Curosurf® 80 mg/ml, tillhandahålls i flaskor om antingen 1,5 ml (120 mg) eller 3 ml (240 mg). Första dosen ska alltid vara så nära 200 mg/kg som möjligt, men behöver inte vara exakt utan ge en hel flaska. Upprepad dos 100 mg/kg, men inte mindre.
Extubera så snart som möjligt när det finns förutsättningar för en framgångsrik extubation, det vill säga barnet har en god egen andningsdrive och triggar övervägande del av respiratorandetagen samt har låga tryck och lågt syrgasbehov. Målet är alltid så kort tid i respirator som möjligt för att undvika lungskador och minska risken för BPD (bronkopulmonell dysplasi).
Övervakning
Det är viktigt att monitorera fysiologiska parametrar för att tidigt upptäcka förändringar i barnets tillstånd som kan kräva åtgärd. Följ lokala riktlinjer om sådana finns. Generellt kan följande kontroller rekommenderas för mycket och måttligt underburna barn:
Temperatur – kontrollera regelbundet och sträva efter normotermi, >36,5 - <37,5 grader.
Pulsoximetri - rekommenderade saturationsgränser är 90-94% enligt European Consensus guidelines 2019 update. Håll larmgränser snäva (89-95%) och undvik hyperoxi.
EKG - elektroder ger säkrare pulsregistrering än pulsoximetri. Försiktighet vid mycket omogen hud.
Blodtryck – invasiv mätning om navelartärkateter. Medelartärtryck (MAP) > gestationsålder är en använd tumregel, men lägre blodtryck kan vara fysiologiskt under första levnadsdygnet så länge perfusion är adekvat. Värdera perfusion genom färg, kapillär återfyllnad, laktat och diures.
Syra-bas status – följ blodgaser och monitorera koldioxidutvädring, pCO2, för att styra behovet av andningsstöd, se kapitel Andningsstöd. Buffert har ingen plats under stabiliseringsfasen, men om kvarstående metabol acidos kan buffert övervägas. Dos i ml = vikt (kg) x BE (base excess) x 0,5
Blodsocker - p-glukos bör kontrolleras inom första levnadstimmarna. Måttligt underburna barn >32 veckor som är stabila bör tillmatas enteralt inom första levnadstimmen och p-glukos kontrolleras före andra måltiden. Mycket underburna barn <32 veckor och barn som är instabila eller har kraftigt ökat andningsarbete behöver tidig p-glukos kontroll och intravenös glukos tillförsel alternativt parenteral nutrition.
Sond – sätt tidigt en sond (naso- eller orogastrisk), särskilt vid CPAP-vård för att undvika stora mängder luft i magen.
Infarter/katetrar – behovet styrs av barnets kliniska tillstånd, behov av parenteral vätska, antibiotika eller andra läkemedel. Intravenös access bör finnas vid transport. Sätt navelkateter om barnet är instabilt och har stigande syrgasbehov eller mycket litet. Både navelven- och navelartärkateter ger möjlighet till upprepad provtagning och kan användas för parenteral nutrition och läkemedelsadministration. Arteriell navelkateter ger möjlighet till invasiv tryckmätning samt arteriella blodgaser för att styra ventilation. Venös navelkateter eller annan centralvenös infart behövs vid tillförsel av inotropa droger.
Nutrition

Underburna barn behöver tidig energitillförsel under de första 1-2 timmarna efter födelsen. Följ lokala riktlinjer om det finns. Generellt rekommenderas att starta på lite högre dygnsvolym, räkna exempelvis på 80 ml/kg/dygn.
Sträva efter enteral nutrition, även till mycket underburna barn. Små mängder, 0,5-1 ml som ”trophic feeding”, tolereras oftast väl.
Sond, naso- eller orogastrisk, behövs oftast för tillmatning. Ge om möjligt mors utpumpade råmjölk alternativt donerad bröstmjölk. Från vecka 33-34 kan prematurformula övervägas. Tänk på att alltid sätta sond om barnet har CPAP för att undvika att ventrikeln blåser upp sig.
Avvakta enteral nutrition om barnet är instabilt, förväntas kräva intubation eller behöver full intensivvård.
Antibiotika

Det svårt att på den initiala kliniska bilden identifiera andningsstörningar som orsakas av en underliggande infektion. Underburenhet är en viktig riskfaktor för tidig neonatal sepsis sekundär till vertikal smitta från modern. Andra riskfaktorer är lång vattenavgång, tecken till choriamnionit,
- Överväg alltid att starta antibiotikabehandling vid signifikant andningsstörning hos ett underburet barn.
- Starta alltid antibiotikabehandling om det finns två eller fler riskfaktorer.
- Ge antibiotika till barn med navelkateter om katetersättningen varit komplicerad eller under tveksam sterilitet.
- Kom ihåg att blododla innan antibiotika.
- Antibiotika, oavsett gestationsålder, är vanligen bensylpenicillin tillsammans med aminoglykosid.
- Avsluta antibiotikabehandlingen när sepsis kan uteslutas, vanligen efter 48-72 timmar.
Nu är det sista avsnittet slut. Klicka på länken nedan för att gå till startsidan eller använd menyn för att fortsätta:
