Den initiala HLR-insatsen är densamma för alla nyfödda barn, med tidigt och effektivt insatt andningsstöd som den centrala åtgärden kompletterat med övriga åtgärder som skildras i avsnittet om neonatal HLR.
I vissa fall kräver barnets tillstånd ytterligare åtgärder, antingen akut eller som inledning av en adekvat fortsatt handläggning. Som exempel på tillstånd som kräver extra åtgärder i samband med födseln kan nämnas hypovolemi, medfött diafragmabråck, kongenital infektion och mekoniumaspiration.
För barn med medfödda, ej akut livshotande, missbildningar är det väsentligt att omhändertagandet sker så genomtänkt och varsamt som möjligt, så att vården av barnet och dess familj får en optimal inledning. På de följande sidorna ges några kortfattade råd om handläggning av barn med tillstånd som kräver särskilda åtgärder i samband med födseln.
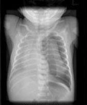
Bilden visar vänstersidig pneumothorax
