Om fostret utsätts för stress innan födseln, kan det reagera med mekoniumavgång. Detta gäller främst fullgångna barn, och särskilt vid överburenhet. Mekoniumet blandas med fostervattnet till en mer eller mindre tjock vätska. Omkring 10% av alla fullgångna barn har mekoniumblandat eller -färgat fostervatten, men det stora flertalet av dessa mår bra.
En betydligt mindre andel av barnen har dock dragit ner (aspirerat) mekonium i lungan, vanligen innan födseln, och utvecklar en mekoniumpneumonit, med andningssymptom som debuterar vid eller inom någon timme efter födseln. Barn med MAS behöver andningsstöd, och har ofta en uttalad hypoxi med stort behov av extra O2 i CPAP eller respirator.
I enstaka fall utvecklas en svår MAS med uttalad pulmonell hypertension, som ställer stora krav på avancerad neonatal intensivvård - ibland inklusive ECMO - för att barnet ska överleva.
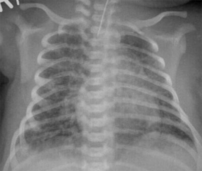
Bilden visar röntgenbild vid mekoniumaspiration.
