Andningsstörningar som debuterar i samband med födseln är sällan så svåra att de orsakar en neonatal HLR-situation (undantaget kongenitala infektioner). Däremot är det relativt vanligt att det medtagna barnet, som krävt andningsstöd initialt, därefter utvecklar symptom på andningsstörning i form av:
- ökad andningsfrekvens
- ökat andningsarbete med
- indragningar i jugulum, interkostalt och substernalt
- näsvingespel
- "gruntning"
Samt cyanos eller nedsatt syremättnad, mätt med pulsoximeter.
Andningsstörningen orsakas vanligen av fördröjd resorption av lungvätska, som i Sverige indelas efter klinisk svårighetsgrad i:
- neonatal andningsstörning (NAS)
- pulmonell adaptationsstörning (PAS)
Även en perinatal infektion kan debutera med andningssymptom, och som initialt kan vara svåra att skilja från NAS/PAS. Barn med mekoniumaspiration har ofta mer uttalade symptom, inklusive mer uttalad och svårbehandlad hypoxi.
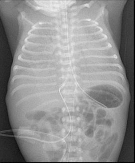
I sällsynta fall orsakas andningsstörningen av RDS (Respiratory Distress Syndrome) även hos fullgångna barn.
Bilden visar lungröntgen som visar RDS med generellt nedsatt lufthalt.

